Embryology Reimagined

IVF Baby Scientific Inc. is making IVF universally accessible by improving its efficiency and safety via embryology lab miniaturization and automation.

We are integrating microfluidics into the IVF laboratory to precisely control fertilization, embryo development and cryopreservation.

Our technology facilitates microscale genetic and molecular bioassays to aid in embryo selection.

Close-up of a laboratory microscope with a petri dish under the objective lens, a person wearing a blue glove is adjusting the sample.

Our Vision

A future where high quality IVF is accessible to every patient who needs it to build their ideal family.

Close-up of a young girl lying down, smiling with her hand near her face, wearing a pink shirt and looking at the camera.

Meet Our Founders

Vitaly A. Kushnir MD

Vitaly A. Kushnir MD

An internationally recognized Reproductive Endocrinology & Infertility physician, Dr. Kushnir has authored over 100 manuscripts in leading medical journals. He is an inventor on multiple patents related to emerging reproductive technologies. Dr. Kushnir serves as the Medical Director at West Coast Fertility Centers, a rapidly growing network of IVF centers in California. He is academically active as Associate Professor at the University of California, Irvine. He has served as a consultant for the Centers for Disease Control and Prevention (CDC) and Cigna Healthcare.

A young man with short brown hair and a fair complexion looking slightly to the right of the camera. He is wearing a dark blue scrub top over a white shirt and standing in a room that appears to be a medical or laboratory setting with equipment and shelves in the background. He is positioned next to a microscope labeled Nikon.

Illia Brusianskyi

Illia is a Senior Embryologist with experience leading clinical IVF labs in Europe and the United States. His innovative research focuses on optimizing embryology workflows though integration of microfluidics, advanced optics and automation. He brings deep practical insight into the challenges of assisted reproduction with a focus on scalable solutions centered on improving performance of modern IVF labs.

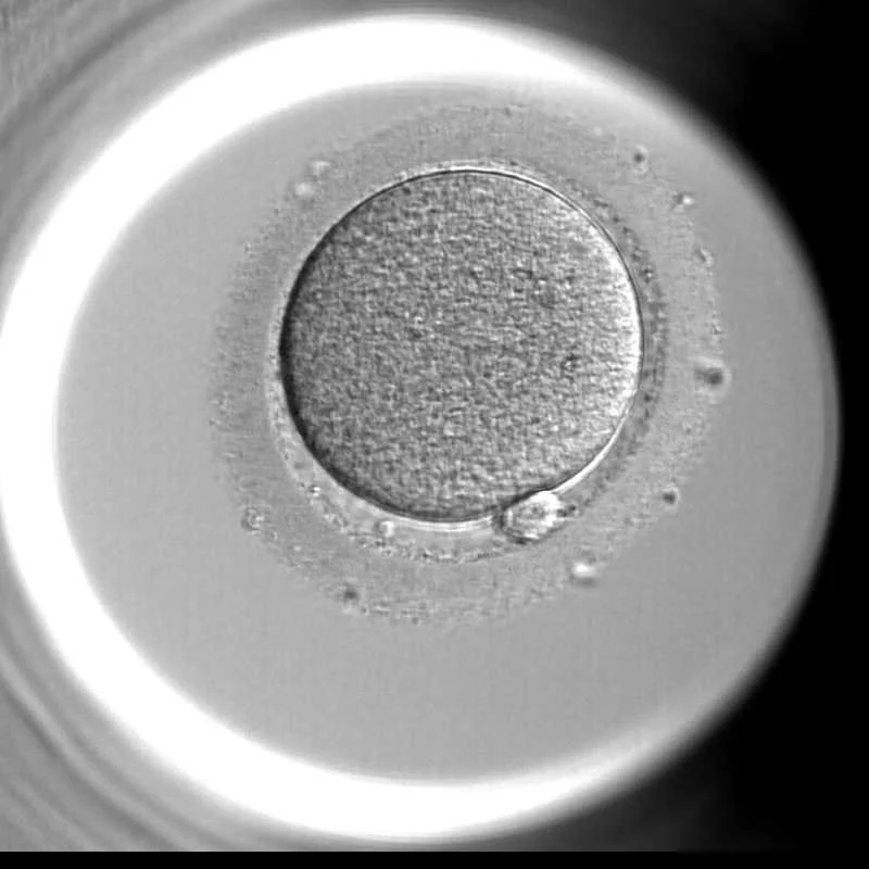
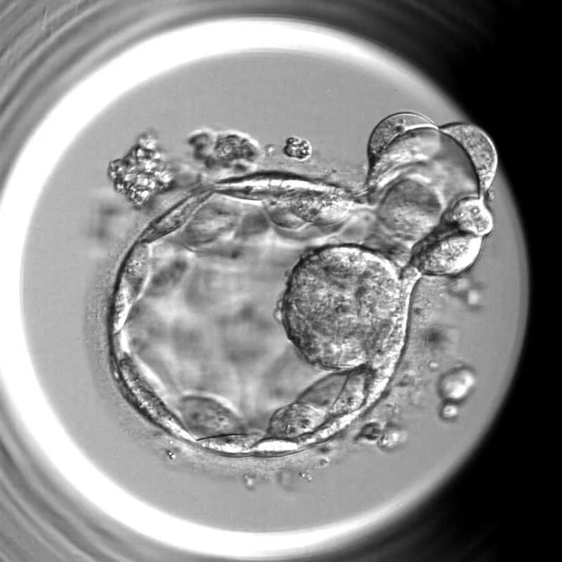
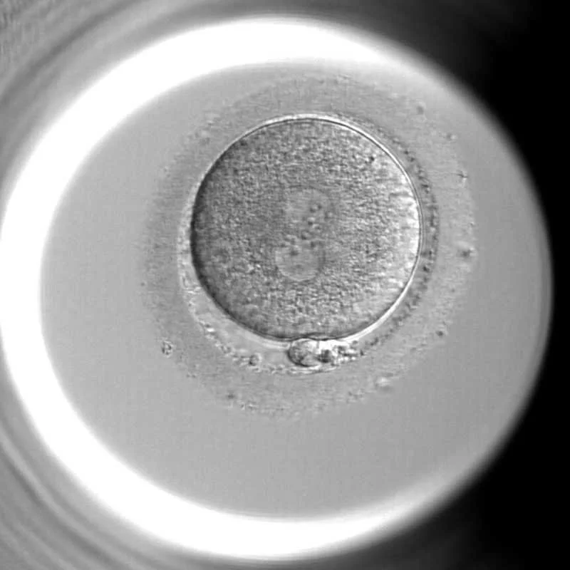
Oocyte - Sperm - Zygote - Embryo

Looking through the top of a glass, exposing the stem cell used for in vitro fertilization.
Microscopic view of numerous sperm cells with elongated heads and long tails, floating on a light background.
Microscopic view of a human egg cell in a laboratory setting.
Multiple cells viewed through a microscope in black and white.
View of a human egg cell fertilized by a sperm cell, seen under a microscope.